Tedaviler

Gülüş Tasarımı

Gülüş Tasarımı

Hayalinizdeki gülüş, dijital ortamda size özgün olarak tasarlanır ve tedavi öncesi değendirilir.

Dental Implant

Dental İmplant

Diş eksiklerinin giderilmesini sağlayan, titanyum alaşımların kullanıldığı bir tedavi yöntemidir.

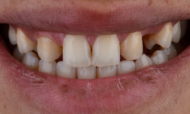
Zirkonyum Kron

Zirkonyum Kuron

Diş problemlerinin estetik ve sağlam bir şekilde çözülmesini sağlayan doğal diş renginde kaplama materyalidir.

Emax Kuron

Cam Seramik (Emax) Kuron

Oldukça estetik olan ve aynı zamanda dişe sağlamlık kazandıran yüksek kalite kaplama materyalidir.

Laminate Veneer

Laminate Veneer

Dişlerde en az hazırlık yapılmasına olanak sağlayan, yüksek estetiğe sahip yaprak porselenlerdir.

Dis Beyazlatma

Diş Beyazlatma

Diş yapısına zarar vermeden diş renginde üç tona kadar açılmayı sağlayan tedavi şeklidir.

Porselen Dolgu

Porselen Dolgu

Eski dolguların değişiminde uygulanan oldukça yüksek sağlamlığa sahip dolgu tedavisi şeklidir.

Çene Eklem Tedavisi

Çene Eklemi Tedavisi

Eklemde ağrı, ses, çene açmada kısıtlılık olduğu durumlarda başvurulan tedavi şeklidir.

Antalya Protez Diş Hekimi Funda Özen

Antalya Protez Diş Hekimi Funda ÖzenAntalya’da hizmet veren Protez Uzmanı Diş hekimi Funda Özen, gülüş tasarımından dental implant uygulamalarına, zirkonyum kuronlardan cam seramik (emax) kuronlara, laminate veneer işlemlerinden diş beyazlatmaya kadar geniş bir yelpazede başarılı sonuçlara imza atmaktadır. Antalya protez diş hekimi Funda Özen’den randevu almak için “İletişim” menüsü üzerinden merkezimize ulaşım sağlayabilirsiniz.

Gülüş Tasarımında Uzmanlık

Antalya protez diş hekimi Funda Özen, gülüş tasarımının hayatımızdaki önemine vurgu yaparak hastalarına hayallerindeki gülüşü kazandırmayı amaçlamaktadır. Geleneksel diş hekimliğinin yanı sıra dijital diş hekimliğine ağırlık veren Özen, tedavi süreçlerini daha konforlu ve etkili hale getirmektedir. Düzenli olarak katıldığı seminer ve kurslarla yenilikçi yaklaşımları benimseyen Özen, gülüş tasarımında son trendleri takip etmekte ve hastalarına en güncel çözümleri sunmaktadır.

Kliniğimizde uygulanan dental implant, zirkonyum kuron, cam seramik kuron gibi yenilikçi tedaviler, Protez Uzmanı Diş Hekimi Funda Özen'in liderliğinde, diş sağlığına dair çağın gereksinimlerini karşılayan çözümler sunmaktadır. Diş Hekimi Funda Özen, uzmanlığı ve deneyimiyle bu özel tedavileri hastalarına sunarak, gülüş estetiğinde öncü bir rol üstlenmektedir.

Diş İmplantı Tedavileri

Dental implant uygulamaları, eksik dişlerin kalıcı ve sağlam bir şekilde yerine konması için kullanılan modern bir çözümdür. Bu alanda yüksek uzmanlık düzeyiyle hastalarına implant tedavisi sunan protez uzmanı Funda Özen, implant uygulamalarını sadece estetik açıdan değil aynı zamanda fonksiyonel açıdan da mükemmel sonuçlar elde etmek adına gerçekleştirmektedir.

Zirkonyum Kuron

Zirkonyum kuronlar, diş estetiği ve dayanıklılık arayan hastalar için ideal bir seçenektir. Diş Hekimi Funda Özen, zirkonyum kuron uygulamalarında ileri teknoloji ve kişiselleştirilmiş tasarımları bir araya getirerek, hastalarının doğal gülüşlerini korumaya ve güçlendirmeye odaklanmaktadır. Bu sayede hastalar hem estetik hem de fonksiyonel olarak tatmin edici sonuçlar elde etmektedir.

Cam Seramik Kuron

Estetik kaygıları olan hastalar için cam seramik kuronlar en iyi diş tedavilerinden birisidir. Diş Hekimi Funda Özen, cam seramik kuron uygulamalarında hassasiyetle çalışma sergileyerek hastalarına doğal diş görünümünü koruyan ve estetik açıdan kusursuz sonuçlar elde etmelerini sağlayan çözümler sunmaktadır. Bu özel kuronlar diş estetiği konusunda en yüksek standartları arayan hastalar için ideal bir tercihtir.

Antalya Dijital Diş Hekimi

Bilgisayar teknolojisinin diş hekimliği pratiğine başarılı bir şekilde entegre edilmesini ifade eden dijital diş hekimliği, merkezimizde aktif bir şekilde kullanılmakta ve tedavi planlaması, diagnostik işlemler ve diş tasarımı daha etkili ve hassas bir biçimde gerçekleştirilmektedir. Bu sayede her bir hastanın ihtiyaçlarına özel olarak tasarlanmış çözümler sunmak mümkün hale gelmektedir. Dijital diş hekimliği, özellikle dental implant, zirkonyum kuron ve cam seramik kuron gibi inovatif tedavilerde daha hassas ölçümler ve tasarımlar yapmayı sağlar. Bu da hastaların daha az zaman harcayarak, daha hızlı ve kaliteli sonuçlar elde etmelerini mümkün kılar.

Kliniğimizde dijital diş hekimliği konusundaki yenilikçi ve kaliteli yaklaşımıyla Diş Hekimi Funda Özen'in liderliğinde hastalarına estetik, fonksiyonel ve dayanıklı diş çözümleri sunmaktadır. Dijital diş hekimliği teknolojileri ile birleşen bu tedaviler, hastaların gülüşlerini yeniden keşfetmelerine olanak tanımaktadır.

Memnuniyet Odaklı Protez Diş Hekimliği

Hasta memnuniyetini her şeyin önünde tutan bir anlayışa sahip olan Diş Hekimi Funda Özen, hastalarının kendilerini rahat hissetmelerini sağlayarak güvenilir bir diş tedavi deneyimi sunmaktadır. Tedavi süreçlerinde hastalarıyla iş birliği yaparak, bireysel ihtiyaçlarına özel çözümler üretmekte ve hastalarının beklentilerini aşmayı hedeflemektedir.

Öncesi & Sonrası
1O 1S
2O 2S
3O 3S
4O 4S
5O 5S
6O 6S